Banner Image Preload
    X
  • Meet the team
    • General dentistry
    • Teeth straightening
    • Cosmetic dentistry
    • Facial aesthetics
  • Treatments
    • Teeth Straightening
      • Invisalign clear aligners
      • Ceramic braces
      • Fixed metal braces
      • Retainers
    • General dentistry
      • Dental check ups
      • Hygienist services
      • Children’s dentistry
      • Nervous patients
      • Invisalign clear aligners
    • Cosmetic dentistry
      • Whitening
      • Composite bonding
      • SmileFast
      • Icon spot whitening
    • Facial aesthetics
      • Anti-wrinkle injections
      • Dermal fillers
      • Polynucleotide treatments
  • Smile Gallery
  • Pricing
    • General dentistry pricing
    • Teeth straightening pricing
    • Cosmetic dentistry pricing
    • Facial aesthetics pricing
  • Orthodontic referrals
  • Contact
Dentistry: 01924 383369   |   Ortho: 01924 380680
Contact us
Contact us
Portman Clear Brace Group banner image

Welcome to St Michaels Orthodontics

A Smile for Everyone

Niamh had treatment as a Teen patient with Invisalign. Despite the fact that her teeth were very crooked she didn’t need any teeth removed.

Still waiting on testimonial

Mila had treatment with Invisalign First which is designed for younger patients when they have baby teeth to improve the position of the teeth whilst waiting on the adult ones to come through.

‘We’d never heard of Invisalign First until we were referred to Catherine but so glad we have done it now, the results are fantastic.

The process from start to the end of phase 1 has been so simple to follow for both Mila and myself.

Catherine and her team were fantastic at explaining the whole process and how to complete the scans on the app, which is really easy to use. Mila loved feeling part of the process and after a couple of times, could do her own progress scans.

Moving through the retainers and seeing her teeth straighten made sure she was sticking with them and excited to see the end of phase 1.

The majority of the work’s been done, just a short top up phase and all done before she’s conscious of wearing them. Her confidence in smiling is amazing to see especially on the school photos.

Thank you to Catherine and her team x’

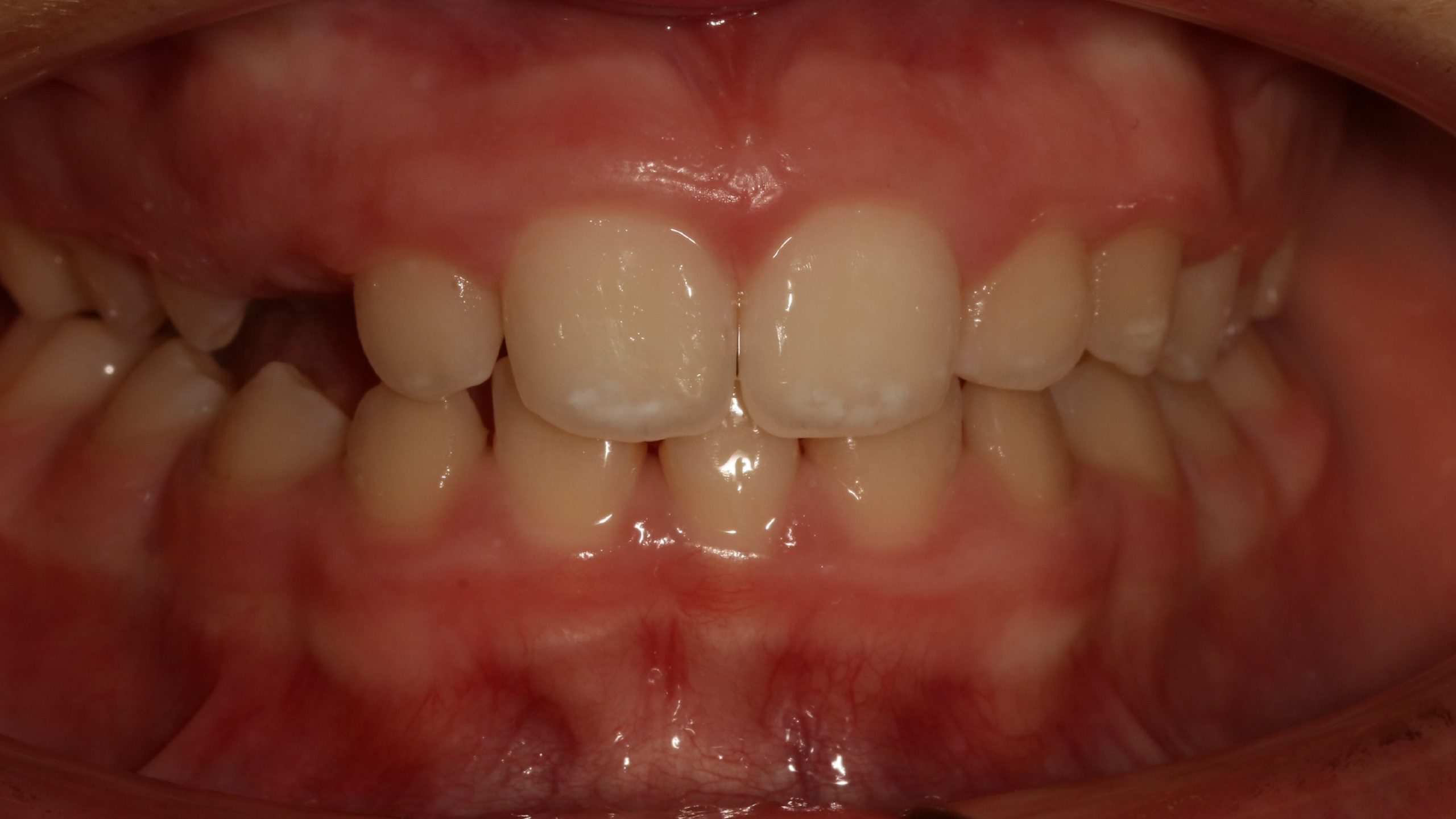
Beatrice needed to have two top teeth removed to create space to align her canine teeth and close the gap between her upper front teeth with metal fixed braces.

The whole process, from initial consultation with Catherine through to the removal of the Braces was very smooth, my daughter was anxious at first about the prospect of Braces but all the staff put her at ease and she even started to look forward to her visits as progress continued. I wouldn’t hesitate to recommend St Michaels to anyone in a similar situation.

This is adult fixed appliance case
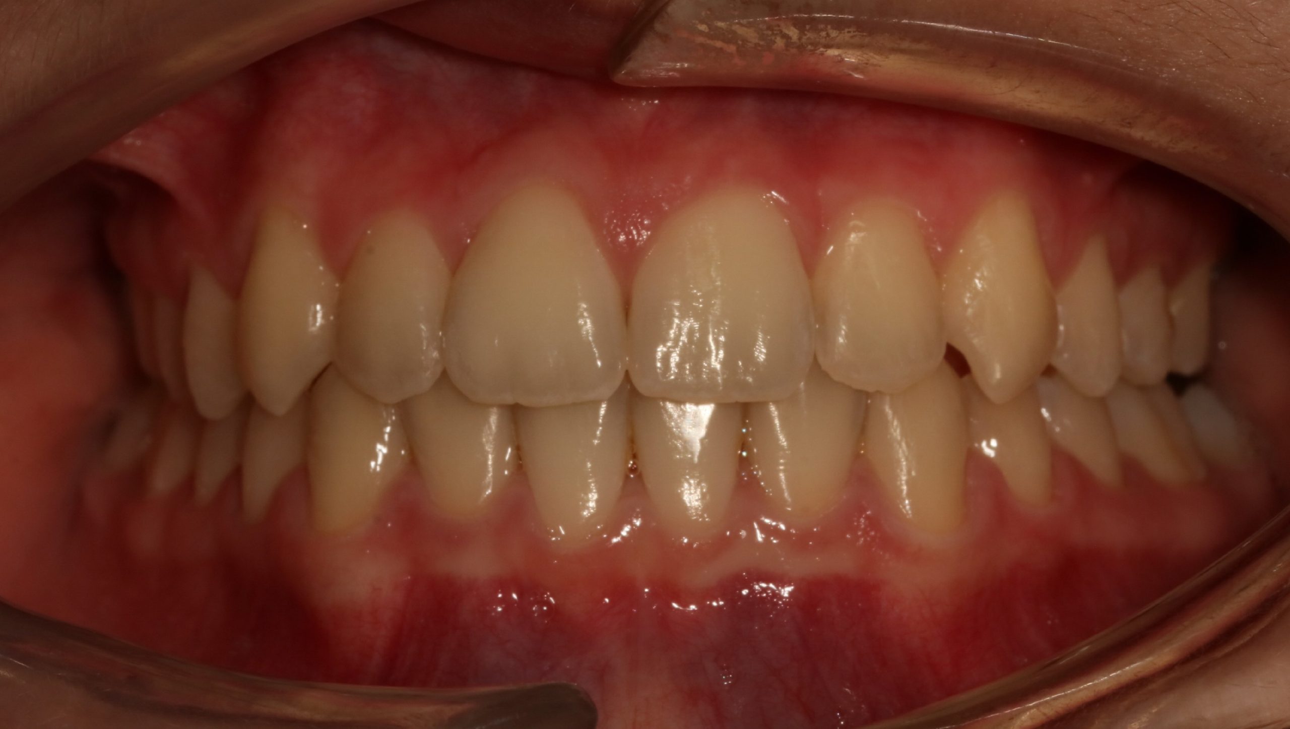
Mike had cosmetic fixed braces to align his teeth. Despite his teeth being very crowded he did not need any teeth removed
Still waiting on his testimonial

Our location

St Michael’s Dental Practice and St Michael’s Orthodontics are both located in the same building at 155 Dewsbury Road, Wakefield. We have limited free parking to the rear of the building.

Contact Us

Opening hours

  • Dental Practice - 01924 383369
  • Monday  08:30 - 18:00
  • Tuesday  08:30 - 18:00
  • Wednesday  09:00 - 19:00
  • Thursday  08:30 - 19:00
  • Friday  08:30 - 17:00
  • Saturday  Closed
  • Sunday  Closed
  • Orthodontics - 01924 380680
  • Monday  09:00 - 17:30
  • Tuesday  09:00 - 19:00
  • Wednesday  09:00 - 19:00
  • Thursday  09:00 - 19:00
  • Friday  08:15 - 16:15
  • Saturday  Closed
  • Sunday  Closed

    Address

  • 155 Dewsbury Road
  • Wakefield
  • West Yorkshire
  • WF2 9BQ
  • Contact Us

Copyright © 2025 Portman Healthcare.

Portman Healthcare Limited is registered in England and Wales. Company number: 06740579. Registered office: Rosehill, New Barn Lane, Cheltenham, Glos, GL52 3LZ.

Portman Healthcare Limited is an appointed representative of Product Partnerships Limited which is authorised and regulated by the Financial Conduct Authority. Product Partnerships Limited’s FCA registration number is 626349 and its address is Second Floor, Atlas House, 31 King Street, Leeds LS1 2HL. Product Partnerships Limited’s permitted business is to act as a Principal for a network of Appointed Representatives who arrange regulated credit facilities for customers who are purchasing goods from them.

Portman Healthcare Limited (FRN: 1031516) acts as a credit broker not a lender. We can only introduce you to Secure Trust Bank T/A V12 Retail Finance Limited (FRN: 679653) who may be able to offer you finance facilities for your purchase. We will only introduce you to this lender. We do not receive any commission for introducing customers to a finance provider. Credit is provided subject to affordability, age, and status. Minimum spend applies. Not all products offered by Secure Trust Bank PLC are regulated by the Financial Conduct Authority.


  • Privacy Policy
  • Complaints procedure
  • About Portman
  • Terms and Conditions
  • Careers

Last updated: 12/11/2025 at 16:21

Portman Dental Care Group logo