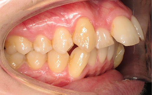
This patient had treatment with upper and lower fixed braces for just over 2 years. Despite the fact that his teeth were very crowded, he did not need any teeth removed.
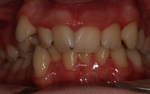
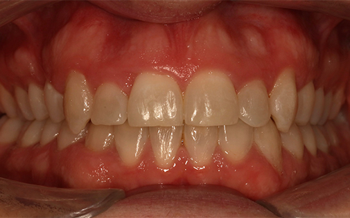
This patient presented with a very severe malocclusion (i.e. irregularity of her teeth and jaws). The ideal treatment recommended was removal of four teeth, upper and lower fixed braces and surgery to her jaws. However, the patient was not keen on the idea of surgery so she offered the alternative of removal of two upper teeth and Invisalign clear aligners. With the expertise of our specialist orthodontists, even the most challenging cases can be treated successfully with Invisalign.
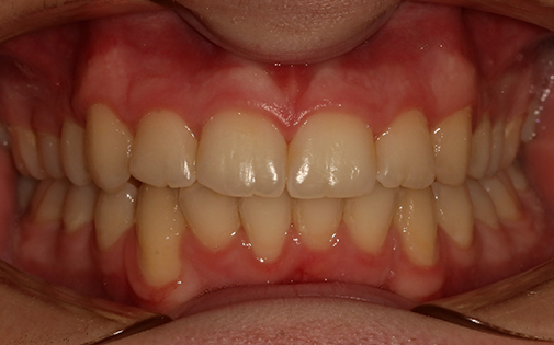
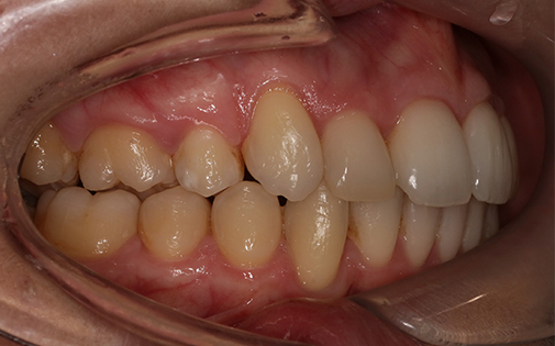
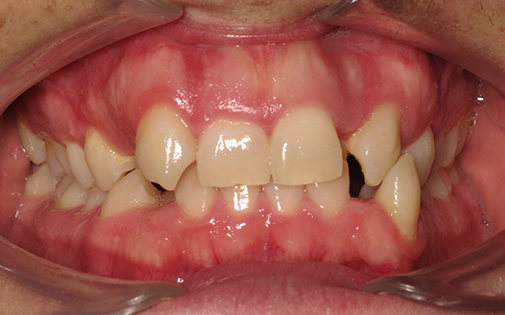
This teenage patient had a very crowded top left canine tooth as well as an underbite. He was successfully treated with Invisalign clear aligners in 22 months.
This teenage patient had a recessive lower jaw so his treatment included a twin block functional appliance followed by upper and lower fixed braces. He wore his twin block brace so well he didn’t need any teeth removed to complete his treatment.
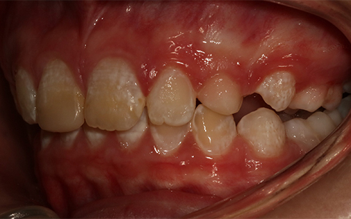
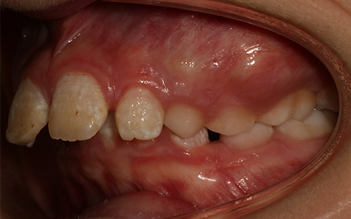
This young patient came to see us aged 11. She had already had trauma to her two upper front teeth. After just 8 months of treatment with Invisalign First the prominence of her upper teeth was reduced from 11mm to 3mm.
Ideally if she had started treatment when she was younger, the trauma could have been prevented but she is now smiling with confidence.
Contact us today to begin your orthodontic journey
How to find us
From M1 – take Exit 40 and follow the signs for the A638 towards Wakefield. At the roundabout, take the exit onto Dewsbury Road (A638) and continue straight for about one and half miles. You’ll pass landmarks such as The New Inn and Flanshaw Road. Keep an eye out for St. Michael’s Church on your right, and we will be just after the church on the left-hand side.
From M62 – take Exit 30 from the M62, following the signs for A642 towards Wakefield. Continue on the A642 for approximately three miles until you reach the junction with the A61 (Leeds Road). Turn right onto the A61 and follow it for about 1 mile, then take a left onto A638 (Dewsbury Road). Continue on Dewsbury Road for around one mile, and you’ll find us on your right-hand side, just after passing St. Michael’s Church.